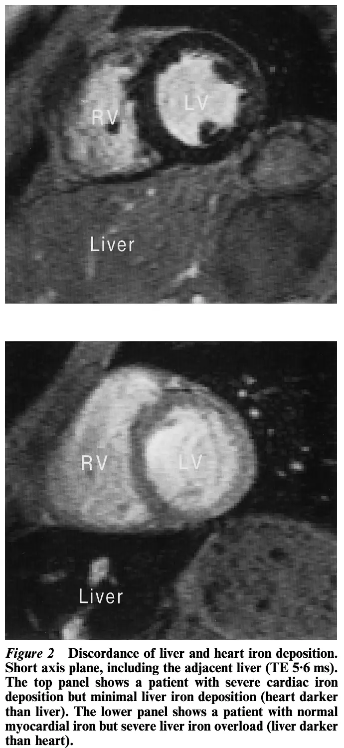
• Most commonly used to detect and quantify iron deposition, e.g. iron overload.
  • Quantify iron in the heart 🫀 and the liver
    • Heart 🫀 (trace within the septum): <20 is concerning for iron overload
    • Liver: <10 is concerning for iron overload
  • Dr. Saghir likes to play the cine → if something turns black 🖤, then likely iron overload

Figure source: 1

Footnotes

  1. Anderson LJ, Holden S, Davis B, et al. Cardiovascular T2-star (T2*) magnetic resonance for the early diagnosis of myocardial iron overload. Eur Heart J 2001; 22:2171-2179.