- tl;dr: Patient is injected with PET radiotracer → tracer uptake by myocardium → annihilation event → coincidence detection
- Figure source: 1
- Goal of evaluating myocardial perfusion with PET imaging is to detect physiologically significant coronary artery narrowing to guide clinical management of patients with known or suspected CAD and those without overt CAD but with cardiovascular risk factors.2
- Normal myocardial perfusion on stress images implies the absence of physiologically significant CAD.
- Abnormal myocardial perfusion on stress images suggests the presence of significantly narrowed coronary arteries.
- Rest vs. Stress: If the stress-induced regional perfusion defect persists on the corresponding paired rest images, it suggests the presence of an irreversible myocardial injury. On the other hand, if the defect on the stress images resolves completely or partially on the rest images, it suggests the presence of stress-induced myocardial ischemia.2
- ⚠️ Don’t be fooled by “balanced ischemia,” i.e. visual interpretation of relative radiotracer uptake may underestimate balanced reduction in blood flow in all three vascular territories.
- Hence why it is important to evaluate MBFR
- Recall the ischemic cascade, where the earliest changes are noted on myocardial perfusion
- Rest imaging should be performed before stress imaging to reduce the impact of residual stress effects (e.g., stunning and steal).2
- Rest-first
- If no perfusion defects → no need to proceed with metabolic images.
- However, an evaluation for ischemia may be helpful if there is uncertainty about whether the severity or burden of coronary artery disease (CAD) results in ischemia. When such uncertainty exists, a quantitative evaluation of myocardial blood flow at stress + rest may be helpful.
- Retrospective data have shown that the presence of abnormal myocardial blood flow reserve may identify patients who are more likely to derive benefit from coronary revascularization.
- Rest-first
- Anatomy of a PET camera
- Detector blocks are made up of many 3-4 mm rectangular crystals and 4 PMTs (FYI, I think the new digital PET cameras don’t rely on PMTs, akin to CZT)
- Several detector blocks are combined to form “buckets”
- FOV is typically around 15 cm
- 3 vs 4 ring systems
-20241021125659747.webp)
- For PET alone (compared to hybrid imaging, such as CT), the image intensity reflects organ function and physiology as opposed to anatomy. 2
- Annihilation
- A positron is a positively charged electron.
- Get ejected from nucleus → interacts with a negative electron → annihilation/destruction (releases energy of 1.22 million electron volts, which divided by 2 is 511 kEv) → 2 gamma photons travel exactly opposite from one another (180˚ apart) → each photon will strike 2 detectors 180˚apart from one another within a short time.
- When a positron spends time near an electron, the two annihilate—they both disappear and in their place two 511-keV gamma rays are emitted.
- Because the gamma rays are nearly collinear (discharged at 180° to each other) and travel in opposite directions, the PET detectors can be programmed to register only events with temporal coincidence of photons that strike directly at opposing detectors.
- If both detectors don’t record event within the ∆ time, it is discarded (“singles” or random).
- The result is improved spatial (4- to 6-mm) resolution when compared with SPECT, as well as temporal resolution.
- The high temporal resolution of PET is also explained by the fact that the imaging device is stationary compared with the rotating imaging gantry for SPECT.
- A positron is a positively charged electron.
- The PET detectors are placed in a ring, surrounding the patient, and are configured to register only photon pairs that strike opposing detectors at approximately the same time, i.e. coincidence detection.2
-20240815221059162.webp)
- Over the course of a typical scan, millions of coincidence events are recorded, and projections of the activity distribution are measured at all angles around the patient. These projections are subsequently used to reconstruct an image of the in vivo radionuclide distribution using the same algorithms as those used in SPECT and x-ray CT.
- PET allows non-invasive evaluation of MBF, function, and metabolism using physiological substrates prepared with positron-emitting radionuclides, such as carbon, oxygen, nitrogen, and fluorine.2
- PET radionuclides reach a more stable configuration by the emission of a positron.2
- Positrons are positively charged particles with the same rest mass as electrons.
- Compared to CCTA, which provides information on the presence and extent of anatomical luminal narrowing of epicardial coronary arteries, stress myocardial perfusion PET provides information on the downstream functional consequences of such anatomic lesions. Thus, with CT systems, complementary information of anatomy and physiology can be obtained during the same imaging session.2
- Hybrid Imaging
- In all cases, the manufacturer starts with a state-of-the-art PET scanner. The manufacturer then adds a CT system, with 64 or more slices.2
- Originally, the CT camera was developed for attenuation correction and anatomical co-localization purposes, more modern machines have CT scanners that are of diagnostic quality, which allows the assessment of both CAC scoring and CT angiography.2
In the presence of left bundle branch block (LBBB), where the septal 18F-FDG uptake is spuriously decreased, the septum should not be used as the site for normalization. Accordingly, the ECG should be reviewed in conjunction with perfusion/viability imaging. 2
Hybrid PET/CT
Ischemia versus Perfusion Defect
Perfusion defect means area of myocardium had less perfusion than another area. True ischemia is a new wall motion abnormality, drop in EF, ST segment ∆. Teased out by “Function” and “Myocardial blood flow quantification.”
- There are 4 Categories of Data Provided by PET/CT MPI That Are Independent From Each Other
- Spatially-relative perfusion (attenuation-corrected)
- Function:
- Rest and peak stress LVEF
- Rest & peak stress regional wall thickening
- Rest & peak stress regional wall motion
- Myocardial blood flow quantification
- Coronary Artery Calcium (CAC)
- Hybrid PET/CT systems provide complementary information of anatomy and physiology can be obtained during the same imaging session
- Although originally the CT component of the hybrid PET/CT camera was developed for attenuation correction and anatomical co-localization purposes, more modern machines have CT scanners that are of diagnostic quality, which allows the assessment of both coronary artery calcium scoring and CT angiography.2
- CT-based attenuation correction typically adds less than 10 seconds to the cardiac scan time.
- The use of the CT image for PET attenuation correction requires a transformation of the observed CT numbers in HU to attenuation coefficients at 511 keV. This transformation is usually accomplished with a bilinear or trilinear calibration curve, with one “hinge” at a CT value of 0 (i.e., hinged at the CT value for water).
- Potential misalignment and misregistration
- The high speed of CT scans, however, freezes the heart and lungs at one phase of the respiratory cycle, causing potential misalignment between the CT-based transmission and emission scans. The latter, of course, are averaged over many respiratory cycles. The respiratory misalignment between the CT image and emission data can produce significant artifacts and errors in apparent uptake in the myocardial segments adjacent to lung tissue. Errors in attenuation correction from misregistration are typically much worse if the CT is acquired at full inspiration, and so the CT is often acquired at either end-expiration or during shallow breathing.2
- Registration is often difficult because the PET and CT portions of all commercial combined PET/CT systems are not coincident (i.e., the PET and CT “slices” are not in the same plane) and the PET and CT gantries are contiguous. In practice, this means that the PET and CT acquisitions do not simultaneously image the same slice. In fact, because the bed must travel different distances into the gantry to image the same slice in the patient for PET versus CT, there is ample opportunity for misregistration via x, y, z misalignment of bed motion—or, of perhaps even greater concern, because of differential ‘‘bed sag’’ for the PET and CT portions, depending on the table design.
Patient Preparation
- Fast for at least 6 hours (water intake allowed)
- Avoid caffeinated drinks for at least 12 hours, ideally 24 hrs
- Avoid theophylline-containing medications for at least 48 hours
Prep for FDG-PET
- 1-2 days prior to study: low/no carb, high fat diet
- Ideally fast 18 hours
- Heparin injection traditionally used, but newer data showing that it probably doesn’t make a difference.
- Measurement of ketones in serum is a better marker that patient is in ketogenic state than checking blood sugar levels.
Dietary carbohydrate intake normally triggers insulin secretion, which activates the predominantly expressed glucose transporter GLUT4 in normal myocardium and allows glucose to enter cells. In the absence of carbohydrates and insulin, the myocardium uses free fatty acids for energy.9 However, in inflammatory cells, glucose enters the cell via GLUT1 and GLUT3 (which are constitutively expressed).10 After entering a cell via a glucose transporter, 18F-FDG is trapped by phosphorylation, allowing for metabolic imaging.11 As such, active inflammation or granulomatous disease may be identified by 18F-FDG in an atmosphere that optimally suppresses physiological myocardial uptake of 18F-FDG, as illustrated in Figure 1.12,13 In contrast, when using 18F-FDG imaging to assess myocardial viability, a high insulin state is preferred to promote glucose utilization by hibernating myocardium.14 In such cases, 18F-FDG imaging takes advantage of the upregulation of glucose transporters in ischemic and hibernating myocardium. (Source)
-20250110121735855.webp)
Scan Setup
- With pharmacologic stress (Rb-82 or N13-ammonia) the agent is administered while the patient is on the scanner table
- Ideally, patients should lay supine with arms out of the cameras FOV
- In pts unable to position their arms outside of the FOV, cardiac images should be obtained with the patient’s arms resting at sides
- Keep the patient positioned similarly for both studies
Image Acquisition
tl;dr: We collect transmission and perfusion images and superimpose them on one another. The CT and perfusion contours of the heart should be properly aligned (co-registration).
- Scout image to localize the heart
- Transmission scans – most commonly done with low-dose CT AC
- 📝 AC is a must for PET, but optional for SPECT
- 3 approaches to do AC, but everyone does CT-AC these days as it is very fast (patient motion is less of an issue), lower energy, and low noise/higher resolution
- Emission scans
- Patient is
-1753742157382.webp)
CT Acquisition
- Gated (ECG)
- Often you’ll see 8 or 16 bins between R-R intervals. We can go to the end-diastolic frame and calculate EDV and the end-systolic frame (e.g. frame 4 in example below) and calculate ESV → use ESV and EDV to calculate EF for these patients.
-1753742216064.webp)
- Static
- Dynamic (time)
- List mode (ECG and time) – most commonly used method these days. Get the ECG and time data simultaneously and then later on can go back and “unlist” the list mode data to gated static and dynamic frames.
- For list mode acquisition, we start at the same time as we inject the radiotracer → capture early LV phase (input function phase) and we acquire the data in the tissue phase. Important to calculate MBF.
-1753742259929.webp)
Figure source: 1
Hybrid PET/MR
- Hybrid PET/MR - For example, co-registration of 18F-FDG metabolic imaging with morphological, functional, and tissue imaging attributes of MR presents new opportunities for disease characterization, such as cardiac sarcoidosis, hallmarked by inflammatory injury, non-caseating granuloma formation, and organ dysfunction which could be the first clinical application of PET/MR in cardiology.2
PET versus SPECT
- SPECT
- Single photon emission is used for image creation
- Camera “focused” with a collimator
- Low energy (~70-165 keV)
- Attenuation correction is unavailable for many traditional SPECT systems
- Drug typically delivered in unit dose for perfusion
- images are generated with rotating gamma cameras2
- PET
- Two photons from single decay
- Camera “focused” electronically, i.e. no collimator
- High energy (511 keV)
- Attenuation correction simple and necessary
- Currently, most cardiac PET tracers are produced on site
- F-18 FDG is available as unit dose
- typically generated with non-moving circular arrays of scintillation detectors that acquire all projection data simultaneously2
| SPECT | PET | |
|---|---|---|
| Spatial Resolution | X | ~2X |
| Contrast Resolution | X | ~2X |
| Count Density/Unit time | X | ~4X |
| Attentuation Correction | Not usual | Always |
| Scatter compensation | X | ~5X |
PET always has attenuation correction. SPECT on the other hand doesn’t always have it (outside of our lab…)
Advantages of Positron Emission Tomography (PET) over SPECT
- Compared with SPECT MPI, the advantages of PET MPI include improved spatial resolution, better attenuation correction, and lower radiation dose. These advantages are highly relevant in viability images because they allow better identification of the presence, extent, and severity of scar.
- Moreover, the PET system is more sensitive than a SPECT system due to the higher count rate and provides the possibility of attenuation correction.2
- Higher spatial and temporal resolution → ↑ diagnostic accuracy and consistent high-quality images
- Figure source
- Peak stress rather than post-peak image acquisition
- Superior diagnostic value for coronary artery disease (CAD) when compared with myocardial perfusion SPECT
- Low radiation dose
- Short half-lives of radionuclide tracers allow lower effective radiation doses and faster imaging protocols (i.e., increased laboratory throughput).
- Short acquisition time allowing multiple studies in 1 day
- Quantitation of absolute myocardial blood flow (MBF; mL/g/min), increasing sensitivity to identify diffuse atherosclerosis, microvascular dysfunction, coronary steal and/or hibernating myocardium
-
Quantification of MBF may provide diagnostic and prognostic information earlier than visual interpretation of relative radiotracer uptake, which is a fundamental disadvantage of the conventional SPECT technique.2
-
It is also possible to combine SPECT MPI with 18F-FDG PET metabolic imaging. 3
-
PET > SPECT, per Dr. Bateman
- allows us to understand entire blood flow to the myocardium (perfusion assessment to the myocardium, but don’t have to worry about false positives d/t attenuation artifact that occurs with SPECT)
- Rest and Peak Stress EF
- ↑ blood flow to myocardium → myocardium contracts more vigorously; EF ↑ → EF from stress > EF at rest
- Quantifies myocardial blood flow (in mL/gm/min)
- quantified at every pixel of the myocardium
- averaged at different segments, coronary territories, and myocardium as a whole
- “reserve” is the ratio between rest and stress
- Coronary Artery Calcium (CAC) scoring
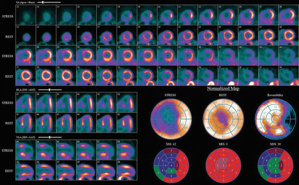
Display of PET Images
- Top: A short-axis view, by slicing perpendicular to the long axis of the LV from apex (left) to base,
- Middle: A vertical long-axis view, by slicing vertically from septum (left) to lateral wall, and
- Bottom: A horizontal long-axis view, by slicing from the inferior (left) to the anterior wall
-20240815222535828.webp)
- ⚠️ Visual assessment of resting myocardial uptake of the radiotracer reflects the distribution of MBF in “relative” terms (i.e., relative to their regions of the LV myocardium) and not in “absolute” terms (i.e., mL/min/gm myocardial tissue). Thus, in some patients with multivessel CAD, it is possible that all myocardial regions are in fact hypoperfused at rest in “absolute” terms (i.e., characterized as balanced reduction in blood flow) and yet appear normal in “relative” terms.
Correlation with Coronary Artery Territories
- LAD: anterior, septal, and apical segments
- RCA: inferior and basal septal segments
- LCx: lateral segments
- ⚠️ The apex can also be supplied by the RCA and LCx
Polar Maps
- Represent a 2D compilation of all the 3D short-axis perfusion data.
- The 2D compilation of perfusion and metabolism data can then easily be assigned to specific vascular territories.
- ⚠️ These derivative polar maps should NOT be considered a substitute for the examination of the standard short-axis and long-axis cardiac tomographic slices.
-20240923133005534.webp)
Reading a Normal PET
- Steps
- Review Transmission and Emission images
- Ensure that the CT and perfusion images are properly aligned/registered with one another. If not aligned, you’ll have to tweak things so that you have good co-registration.
- Adjust the reconstruction planes
- Review rest and stress reconstructed images
- Score the polar maps
- Review the rest and stress gated images/dyssnchrony/ histogram?
- Review the blood flow
- Review the CT images
- Generate a clinically meaningful report
- Review Transmission and Emission images
CONCLUSIONS:
1. PET Perfusion Study: Normal.
2. No evidence of ischemia.
3. No evidence of scarred myocardium.
4. Left ventricle is normal in size. The left ventricle systolic function is normal.
5. Right ventricle is normal in size. The right ventricle systolic function is normal.
6. This is a low risk scan.
7. Incidental Findings from limited non-diagnostic CAC:
- Coronary calcifications visualized.
Prior Study Comparison Prior nuclear cardiology exam was performed on
[10/09/2018]. Shows no change.Quality Control
Misregistration
- Misregistration, e.g. if misalignment b/w the emission and transmission scans → misregistration can appear as a perfusion defect
Figure source
Histogram for HR
Histogram to assess for Dyssnchrony
Reporting PET Findings
- Some institutions will use the appropriate use criteria (AUC) as the indication for the test.
Footnotes
-
Bengel FM, Higuchi T, Javadi MS, Lautamäki R. Cardiac positron emission tomography. J Am Coll Cardiol. 2009 Jun 30;54(1):1-15. doi: 10.1016/j.jacc.2009.02.065. PMID: 19555834. ↩ ↩2
-
Dilsizian V, Bacharach SL, Beanlands RS, et al. ASNC imaging guidelines/SNMMI procedure standard for positron emission tomography (PET) nuclear cardiology procedures. Journal of Nuclear Cardiology. 2016;23(5):1187-1226. doi:10.1007/s12350-016-0522-3 ↩ ↩2 ↩3 ↩4 ↩5 ↩6 ↩7 ↩8 ↩9 ↩10 ↩11 ↩12 ↩13 ↩14 ↩15 ↩16 ↩17 ↩18
-
Garcia, M. J., Kwong, R. Y., Scherrer-Crosbie, M., Taub, C. C., Blankstein, R., Lima, J., Bonow, R. O., Eshtehardi, P., & Bois, J. P. (2020). State of the Art: Imaging for Myocardial Viability: A Scientific Statement From the American Heart Association. Circulation: Cardiovascular Imaging, 13(7). https://doi.org/10.1161/hci.0000000000000053 ↩
-1754583025172.webp)