
Table 2 Factors that increase or reduce the color Doppler jet area
| Increases jet area | Reduces jet area |
|---|---|
| Higher momentum | Lower momentum |
| Larger regurgitant orifice area | Smaller regurgitant orifice area |
| Higher velocity (greater pressure gradient) | Lower velocity (lower pressure gradient) |
| Higher entrainment of flow | Chamber constraint/wall-impinging jet |
| Higher Doppler gain | Lower Doppler gain |
| Far-field beam widening | Far-field attenuation/attenuation by an interposed ultrasound-reflecting structure |
| Slit-like regurgitant orifice, imaged along the thin, long shape of the orifice | |
| Multiple orifices |
- Color Doppler components of regurgitant jet:
- flow convergence
- vena contracta
- regurgitant area
- The vena contracta (VC) is the narrowest portion of the regurgitant flow that occurs at or immediately downstream of the regurgitant orifice
- characterized by high-velocity laminar flow
- VC by color Doppler is considerably less dependent on technical factors (e.g., PRF) compared with the jet extent
- For 2D VC measurement, it is indispensable to have a linear view of the three components of regurgitant flow (flow convergence, VC, jet area) and to orient the ultrasonic beam as perpendicular to the flow as possible to take advantage of axial measurement accuracy.
- often requires getting out of our traditional 2D echo views
Eccentric Jets
- Eccentric wall-impinging jets appear significantly smaller than centrally directed jets of similar hemodynamic severity.
- ⚠️ The presence of an eccentric jet should alert to the possibility of structural valve abnormalities (e.g., prolapse, flail, or perforation), frequently situated in the leaflet or cusp opposite to the direction of the jet.
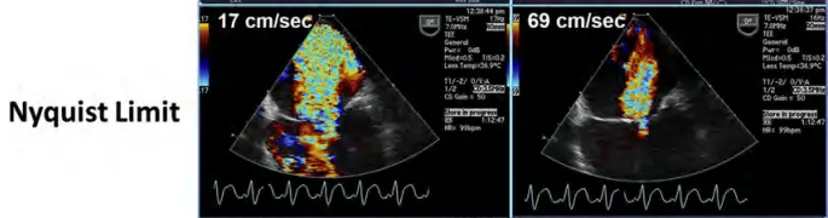
- 🤔 How does the Nyquist limit affect color Doppler visualization of regurgitant velocities?
- A low Nyquist limit will emphasize lower velocities, and thus the jet will be larger.
- ASE Guidelines recommend setting your Nyquist between 50 and 70 cm/sec

Color M-mode
Example of color M-mode for MR below:
